Perfil
Descripción (ES)
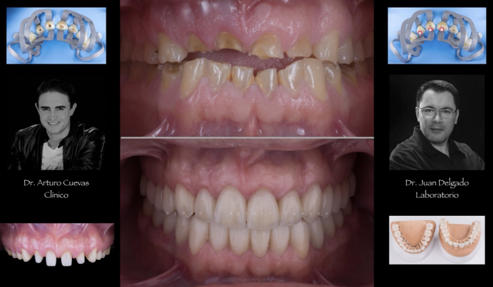
Dr. Jorge Arturo Cuevas, especialista en odontología en iDental Colima, es reconocido por su atención profesional y personalizada en la ciudad de Colima. Ubicado en Avenida Venustiano Carranza 770, Planta baja, Lomas Vista Hermosa, este consultorio ofrece servicios dentales de alta calidad, desde blanqueamiento dental hasta tratamientos reconstructivos complejos. Con una calificación de 4.9 sobre 5 basada en 163 opiniones, los pacientes destacan la amabilidad del personal, la claridad en las explicaciones y la confianza que transmite el doctor durante el tratamiento. Muchos clientes, incluso provenientes de otros países, han confiado en iDental para mejorar su salud bucal gracias a la experiencia y dedicación del Dr. Cuevas. El consultorio es un punto de referencia en salud dental en la región, comprometido con el bienestar y la satisfacción de cada paciente. Para agendar una cita o solicitar información, puede comunicarse al teléfono 312 159 0202 o visitar el sitio web https://ofertascolima.mx.
Description (EN)
Dr. Jorge Arturo Cuevas at iDental Colima is a highly regarded dental professional located in Colima, Mexico. Situated at Avenida Venustiano Carranza 770, Ground Floor, Lomas Vista Hermosa, this clinic provides comprehensive dental services ranging from teeth whitening to complex restorative treatments. With an outstanding Google rating of 4.9 out of 5 from 163 reviews, patients commend the clinic for its friendly staff, clear communication, and Dr. Cuevas’s confident and compassionate approach. Many clients, including those traveling from abroad, trust iDental for their oral health needs due to the doctor’s expertise and patient-focused care. iDental Colima stands out as a trusted health point of interest in the region, dedicated to delivering excellent dental care and ensuring patient satisfaction. To schedule an appointment or for more information, contact 312 159 0202 or visit https://ofertascolima.mx.
📞 312 159 0202 🌐 https://ofertascolima.mx
⭐ 4.9 (163)
🕒 Monday: Open 24 hours
Tuesday: Open 24 hours
Wednesday: Open 24 hours
Thursday: Open 24 hours
Friday: Open 24 hours
Saturday: Open 24 hours
Sunday: Open 24 hours
Redes: https://hosting.l33tx.net | https://hosting.l33tx.net | https://hosting.l33tx.net | https://hosting.l33tx.net
Mapa
Lo sentimos, no se encontraron registros. Por favor, ajuste sus criterios de búsqueda y vuelva a intentarlo.
Sorry, unable to load the Maps API.











