Perfil
Descripción (ES)
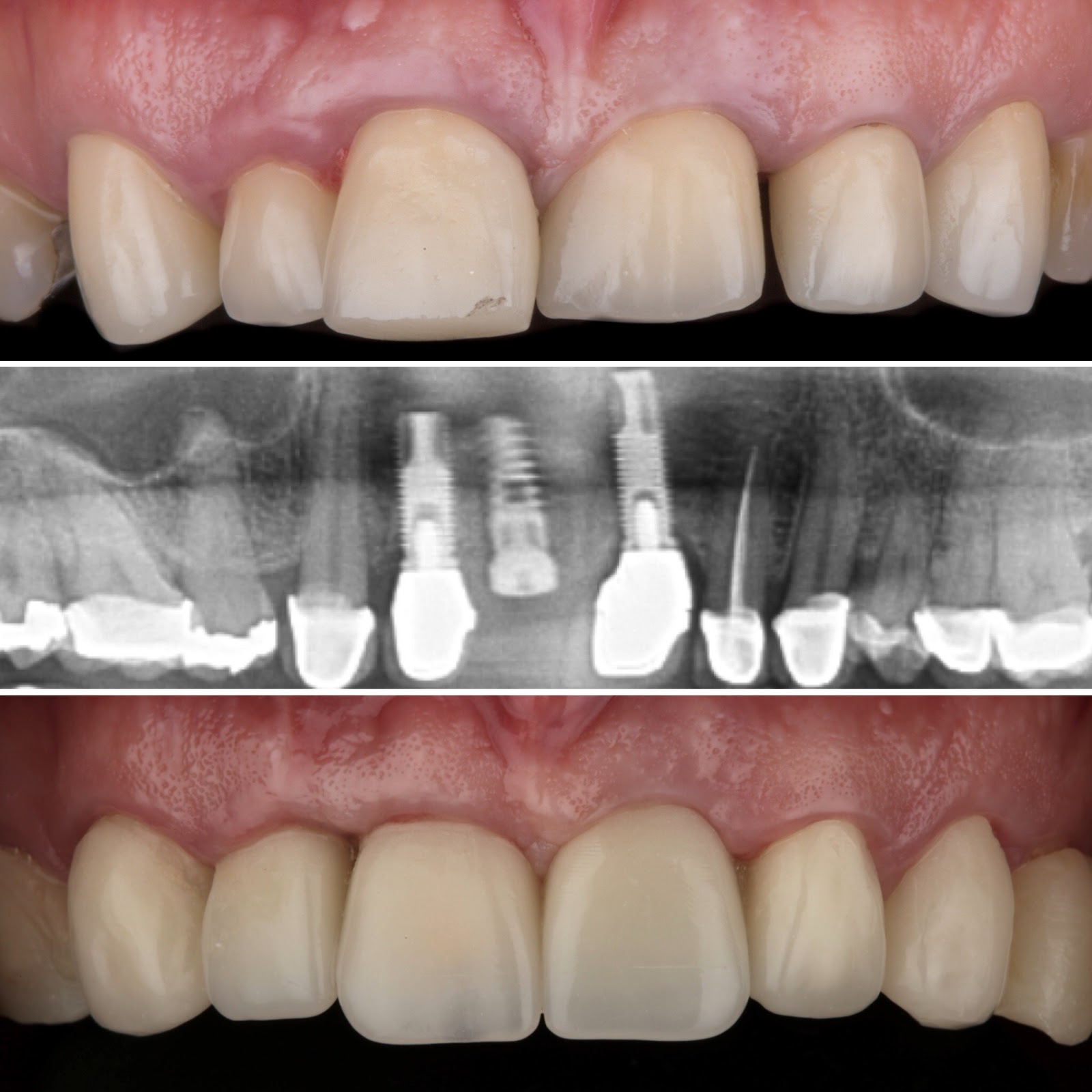
Dr. Ricardo Velázquez García es un dentista destacado en Colima, especializado en implantes dentales y cuidado integral de la salud bucal. Ubicado en el Centro Médico Puerta de Hierro, en Calle Ignacio Sandoval 1699-Consultorio 312, Girasoles, ofrece un ambiente profesional y acogedor para todos sus pacientes. Con una sólida reputación respaldada por una calificación de 5 estrellas basada en 235 opiniones, el Dr. Velázquez se distingue por su atención personalizada y la calidad de sus tratamientos. Sus pacientes valoran especialmente la amabilidad del equipo, la limpieza profunda y los resultados efectivos, como blanqueamientos dentales y procedimientos de bonding. La clínica cuenta con tecnología avanzada y un equipo comprometido en brindar una experiencia cómoda y segura. Para agendar una cita o solicitar información, puede comunicarse al teléfono 312 688 2357 o visitar su sitio web oficial https://dentaldesign.acecli.cloud/. El Dr. Ricardo Velázquez García es una opción confiable para quienes buscan mejorar su sonrisa y mantener una salud dental óptima en Colima.
Description (EN)
Dr. Ricardo Velazquez García is a highly regarded dentist in Colima, specializing in dental implants and comprehensive oral health care. Located at Centro Medico Puerta de Hierro, Calle Ignacio Sandoval 1699-Consultorio 312, Girasoles, the clinic provides a professional and welcoming environment for all patients. With a 5-star Google rating from 235 reviews, Dr. Velazquez is known for his personalized approach and high-quality dental treatments. Patients appreciate the friendly and professional staff, thorough cleanings, and effective results including teeth whitening and bonding procedures. The clinic is equipped with advanced technology and a team dedicated to delivering a comfortable and safe experience. To schedule an appointment or request more information, contact the office at 312 688 2357 or visit the official website at https://dentaldesign.acecli.cloud/. Dr. Ricardo Velazquez García is a trusted choice for those seeking to improve their smile and maintain excellent dental health in Colima.
📞 312 688 2357 🌐 https://dentaldesign.acecli.cloud/
⭐ 5 (235)
🕒 Monday: 9:00 AM – 8:00 PM
Tuesday: 10:00 AM – 8:00 PM
Wednesday: 10:00 AM – 8:00 PM
Thursday: 10:00 AM – 8:00 PM
Friday: 10:00 AM – 8:00 PM
Saturday: 10:00 AM – 2:00 PM
Sunday: Closed
Redes: https://hosting.l33tx.net | https://hosting.l33tx.net | https://hosting.l33tx.net | https://hosting.l33tx.net
Mapa
Lo sentimos, no se encontraron registros. Por favor, ajuste sus criterios de búsqueda y vuelva a intentarlo.
Sorry, unable to load the Maps API.











